House Family Dental

Smile Gallery

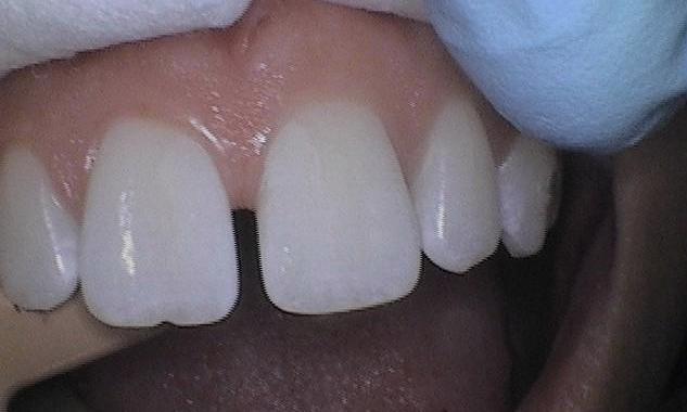
You know what they say – a picture is worth a thousand words! We're proud of the work we do, and we know it can make it easier to visualize your treatment by seeing examples. Take a look through our Smile Gallery at pictures of real House Family Dental patients and imagine the possibilities for your smile!

Getting an appointment is fast and easy!
Gallery Categories
If you have difficulty using our website, please email us or call us at (719) 924-8623
View the ADA Accessibility Statement
Privacy Policy